Skip to content Skip to sidebar Skip to footer

Fractura De Muñeca En Niños

Fracturas Tipicas En Ninos Faros Hsjbcn

Fracturas Tipicas En Ninos Faros Hsjbcn

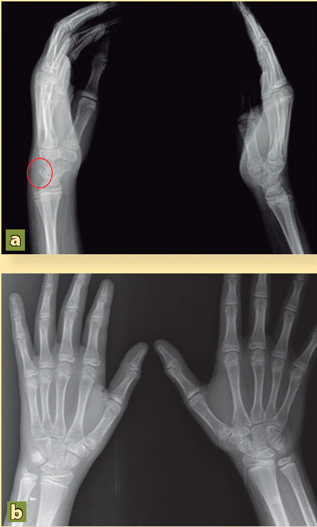
Fractura de muñeca en niños. Pero en el caso del codo que incluye la fractura supracondílea de húmero es fundamental la óptima atención para evitar las complicaciones de deseje vasculares o nerviosas. Las fracturas de muñeca son la lesión ósea más común en los niños. En las fracturas fisarias dada la gran capacidad de remodelación no son recomendables maniobras de reducción 10-14 días post-fractura por el alto riesgo de daño fisario Fig 2.

Aplique hielo en la muñeca de su niño durante 15 o 20 minutos cada hora o según se le indique. Por lo general ocurren en niños hasta los 14 años generalmente después de una caída de poca energía. Considerada como una de las lesiones óseas más comunes entre niños y ancianos las fracturas de muñeca se asocian con las caídas ya sea durante la práctica de un deporte o por un resbalón debido a lo mojado o helado del piso.

Las fracturas de muñeca y codo son las más comunes en los niños sobre todo debido a caídas desde la alturaTe invitamos a seguir las plataformas digitales o. Estas fracturas menores se curan adecuadamente. El hielo ayuda a evitar daño al tejido y a disminuir la inflamación y el dolor.

La flexibilidad del hueso inmaduro en los niños permite que la fuerza se absorba como lo. Similar a los adultos el escafoides sigue siendo el hueso carpal más fracturado en los niños representando sólo el 045 de todas las fracturas en la población pediátrica. Suelen ser tratadas con una tablilla de la muñeca o un yeso por debajo del codo.

En las fracturas fisarias del cúbito existe una alta incidencia de cierre fisario prematuro 30-50 por lo que debemos controlarlo estrictamente. Fractura de Muñeca en Niños fractura Radiocubital distal es una de las fracturas mas comunes en niños ocupan el 45 y en el brazo ocupan el 62 66. En el caso de las fracturas de muñeca y de mano con un buen diagnóstico y un simple tratamiento incruento se soluciona el problema en la mayoría de los casos.

Similar a las distribuciones de adultos la fractura de la cintura escafoides es la más común 71 seguida de fracturas distales del. En caso de fractura desplazada de la muñeca y tal vez con muchos fragmentos si el paciente afectado es una persona mayor con osteoporosis el pronóstico es de más de 3 meses e incluso puede llegar hasta 6 meses sin tratamientos. El tratamiento de una fractura de muñeca.

Esta zona del cuerpo es sumamente delicada particularmente en los niños cuyos huesos son suaves y tienden a. Su hijo tiene fiebre.

Fractura De Colles Wikipedia La Enciclopedia Libre

Fractura De Colles Wikipedia La Enciclopedia Libre

Las Fracturas Infantiles Todo Lo Que Debes Saber Consejos Y Prevencion

Las Fracturas Infantiles Todo Lo Que Debes Saber Consejos Y Prevencion

Fractura Infantil Los Ninos No Son De Goma Eugenia Miranda Traumatologo Infantil Tarragona

Fractura Infantil Los Ninos No Son De Goma Eugenia Miranda Traumatologo Infantil Tarragona

Fracturas De Muneca Y Mano En El Deporte Juan Arnal Traumatologo En Madrid

Fracturas De Muneca Y Mano En El Deporte Juan Arnal Traumatologo En Madrid

Fracturas En Ninos Son Tan De Goma Como Dicen Blog De Pediatria

Fracturas En Ninos Son Tan De Goma Como Dicen Blog De Pediatria

Fractura De Muneca En Ninos Tutraumatologo Com

Fractura De Muneca En Ninos Tutraumatologo Com

Fracturas Infantiles Mas Frecuentes Esguinces Y Epifisiolisis

Fracturas Infantiles Mas Frecuentes Esguinces Y Epifisiolisis

Noticias Madrid Trauma

Noticias Madrid Trauma

Fractura De Colles Wikipedia La Enciclopedia Libre

Fractura De Colles Wikipedia La Enciclopedia Libre

Fractura De Muneca Hay Esperanza Para Todos Los Pacientes Incluso Los Ya Operados De Forma Fallida Dr Pinal Y Asociados

Fractura De Muneca Hay Esperanza Para Todos Los Pacientes Incluso Los Ya Operados De Forma Fallida Dr Pinal Y Asociados

Fractura En Boton O En Bucle

Fractura En Boton O En Bucle

2

2

Fracturas Del Antebrazo Y Muneca Del Nino Cirugiamanoinfantil Com

Fracturas Del Antebrazo Y Muneca Del Nino Cirugiamanoinfantil Com

Fracturas Tipicas Do Osso Na Crianca

Fracturas Tipicas Do Osso Na Crianca

Fractura En Rodete O Tipo Torus Concise Medical Knowledge

Fractura En Rodete O Tipo Torus Concise Medical Knowledge

Fractura De Muneca Muy Comun En Ninos Y Ancianos

Fractura De Muneca Muy Comun En Ninos Y Ancianos

Fracturas De Muneca Y Mano En El Deporte Juan Arnal Traumatologo En Madrid

Fracturas De Muneca Y Mano En El Deporte Juan Arnal Traumatologo En Madrid

Fracturas De Muneca En El Nino Traumatologo Pediatra Quito Guayaquil Loja Ecuador

Fracturas De Muneca En El Nino Traumatologo Pediatra Quito Guayaquil Loja Ecuador

Tratamiento De Fisioterapia Para La Fractura De Colles Sevilla

Tratamiento De Fisioterapia Para La Fractura De Colles Sevilla

Ignorar Fractura De Dedos En Ninos Afecta Movimiento Y Recuperacion Clikisalud Net Fundacion Carlos Slim

Ignorar Fractura De Dedos En Ninos Afecta Movimiento Y Recuperacion Clikisalud Net Fundacion Carlos Slim

2

2

Fractura De Muneca Radio Distal Dr Thione Dr Landin

Fractura De Muneca Radio Distal Dr Thione Dr Landin

Fracturas Diafisarias Del Antebrazo En Los Ninos Sciencedirect

Fracturas Diafisarias Del Antebrazo En Los Ninos Sciencedirect

1

1

Rehabilitacion De La Fractura De Muneca Con Fisioterapia Efisio Es Fisioterapia Madrid

Rehabilitacion De La Fractura De Muneca Con Fisioterapia Efisio Es Fisioterapia Madrid

Fractura De Cubito Y Radio Sintomas Y Tratamiento Camde

Fractura De Cubito Y Radio Sintomas Y Tratamiento Camde

Fractura En Tallo Verde En Ninos La Mas Frecuente

Fractura En Tallo Verde En Ninos La Mas Frecuente

Fractura En Boton Cirugia De Columna En Matamoros

Fractura En Boton Cirugia De Columna En Matamoros

Fracturas Y Luxaciones De Muneca Y Mano Pediatrica

Fracturas Y Luxaciones De Muneca Y Mano Pediatrica

Fractura De Radio Que Es Sintomas Y Tratamiento Top Doctors

Fractura De Radio Que Es Sintomas Y Tratamiento Top Doctors

Fapap Diagnostico Radiologico De La Patologia Traumatica En Pediatria

Fapap Diagnostico Radiologico De La Patologia Traumatica En Pediatria

Fractura En Tallo Verde Wikipedia La Enciclopedia Libre

Fractura En Tallo Verde Wikipedia La Enciclopedia Libre

Fractura En Rodete O Tipo Torus Concise Medical Knowledge

Fractura En Rodete O Tipo Torus Concise Medical Knowledge

Fracturas De Muneca Radio Y Cubito Tratamiento Y Cuidados Para Su Recuperacion Youtube

Fracturas De Muneca Radio Y Cubito Tratamiento Y Cuidados Para Su Recuperacion Youtube

Fractura Del Hueso Piramidal En Un Paciente Pediatrico Reporte De Un Caso Y Revision De La Literatura

Fractura Del Hueso Piramidal En Un Paciente Pediatrico Reporte De Un Caso Y Revision De La Literatura

Fractura De Muneca Cancer Care Of Western New York

Fractura De Muneca Cancer Care Of Western New York

2

2

Fractura Infantil Los Ninos No Son De Goma Eugenia Miranda Traumatologo Infantil Tarragona

Fractura Infantil Los Ninos No Son De Goma Eugenia Miranda Traumatologo Infantil Tarragona

Manejo De Las Fracturas De Radio Distal Madrid Trauma

Manejo De Las Fracturas De Radio Distal Madrid Trauma

Fractura De Muneca Western New York Urology Associates Llc

Fractura De Muneca Western New York Urology Associates Llc

2

2

Fractura De Muneca Fractura De Colles

Fractura De Muneca Fractura De Colles

Los Cuidados Que Debe Tener Para Ninos Con Fracturas Clinica Upi

Los Cuidados Que Debe Tener Para Ninos Con Fracturas Clinica Upi

Fractura De Muneca

Fractura De Muneca

Fractura De Mano En Ninos Care Guide Information En Espanol

Fractura De Mano En Ninos Care Guide Information En Espanol

Rehabilitacion En Fracturas De Muneca Y Mano

Rehabilitacion En Fracturas De Muneca Y Mano

Fracturas De Muneca Y Mano En El Deporte Juan Arnal Traumatologo En Madrid

Fracturas De Muneca Y Mano En El Deporte Juan Arnal Traumatologo En Madrid

Fractura De Muneca En Ninos Aftercare Instructions Care Guide Information En Espanol

Fractura De Muneca En Ninos Aftercare Instructions Care Guide Information En Espanol

1

1

Pero en el caso del codo que incluye la fractura supracondílea de húmero es fundamental la óptima atención para evitar las complicaciones de deseje vasculares o nerviosas.

El hielo ayuda a evitar daño al tejido y a disminuir la inflamación y el dolor. Dependerá del hueso de la muñeca que se haya fracturado y del tipo de fractura que el niño tenga. El hielo ayuda a evitar daño al tejido y a disminuir la inflamación y el dolor. Cubra el hielo con una toalla antes de aplicarlo sobre la piel de su hijo. About Press Copyright Contact us Creators Advertise Developers Terms Privacy Policy Safety How YouTube works Test new features Press Copyright Contact us Creators. En caso de fractura desplazada de la muñeca y tal vez con muchos fragmentos si el paciente afectado es una persona mayor con osteoporosis el pronóstico es de más de 3 meses e incluso puede llegar hasta 6 meses sin tratamientos. Fractura de muñeca en niños. Las fracturas del carpo son infrecuentes en niños. Su hijo tiene fiebre.


Considerada como una de las lesiones óseas más comunes entre niños y ancianos las fracturas de muñeca se asocian con las caídas ya sea durante la práctica de un deporte o por un resbalón debido a lo mojado o helado del piso. Las fracturas del carpo son infrecuentes en niños. Usted tiene preguntas o inquietudes sobre la condición o el cuidado de su hijo. About Press Copyright Contact us Creators Advertise Developers Terms Privacy Policy Safety How YouTube works Test new features Press Copyright Contact us Creators. La mayoría son fracturas en rodete o torus en las que sobresale la superficie ósea. Suelen ser tratadas con una tablilla de la muñeca o un yeso por debajo del codo. Reduccion de la fractura de muñeca en niños y adultos Actualizaciones ENYESADO ENTRE LOS 11 Y 12 AÑOS EN NIÑAS Y NIÑOS ENTRE LOS 12 Y 13 AÑOS GRACIAS.

Post a Comment for "Fractura De Muñeca En Niños"